
Az Amethyst sugárterápiás központ sugárkezelési részlegén utolsó generációs berendezésekkel veszik fel a harcot a daganatos betegségekkel szemben
Fotó: Orbán Orsolya
A daganatos betegségek diagnózisa ma már nem egyenlő a reménytelenséggel: a modern orvoslás eszköztára, a célzott terápiák és a sugárkezelés rohamos fejlődése egyre több beteg számára kínál valódi gyógyulási esélyt. Videós riportsorozatunkban a kolozsvári Amethyst sugárterápiás központban annak jártunk utána, hogyan vezet az út a daganatos betegségek felfedezésétől a kezelésen át a felépülésig, illetve miért életbevágó a szűrővizsgálatok szerepe.
2025. december 30., 08:012025. december 30., 08:01
Egy beteg számára az egyik legszörnyűbb hír, amikor egy szűrővizsgálat nyomán – vagy rosszabb esetben a betegség későbbi stádiumában jelentkező tünetek alapján – a szakorvos megállapítja, hogy daganatos betegségben, rákban szenved. Sokan ezt a végzettel azonosítják, lelkileg összeomlanak, mert úgy ítélik meg, hogy ebből a kórból már nincs talpra állás. Pedig a valóság ennél sokkal pozitívabb és reménykeltőbb – állítják az onkológus szakorvosok, akik a legújabb gyógyászati eljárások alkalmazásával egyre több beteg gyógyulásához nyújtanak segítő kezet.
Egészségünkre című videós riportsorozatunk decemberi kiadásában a kolozsvári Amethyst sugárterápiás központ onkológus szakorvosával, dr. Pályi-Kiss Emőkével követtük végig az utat, amely a diagnózis felállításától a különböző gyógymódokon át a beteg gyógyulásáig vezethet.
A 2014 októbere óta Kolozsvár határában, Szászfenes szomszédságában működő magánklinikán késő délután kerestük fel a doktornőt, amikorra a délelőtti betegáradat már megritkul, és nyugodtabb körülmények között tudunk beszélgetni. Kollégái eközben bemutatták a sugárkezelésben alkalmazható különböző berendezéseket, amelyeknek egyre nagyobb szerepük van a daganatos betegségek terjedésének megállításában, illetve a sugárkezelésre érzékeny ráktípusok gyógyításában.
Dr. Pályi-Kiss Emőke onkológus szakorvos szerint a daganatos betegek kezelése terén számos új gyógyszer és orvosi eljárás jelent meg
Fotó: Orbán Orsolya
ami jelentősen csökkentette a nyomást az olyan központok befogadóképességén, mint a kolozsvári. Ennek ellenére itt továbbra is rengeteg a beteg: délelőttönként tömegek jönnek-mennek a folyosókon, hogy elvégezhessék a járóbeteg-ellátás keretében előírt kezeléseket, legyen szó kemoterápiáról, sugárkezelésről vagy más onkológiai terápiáról. Az Amethyst klinika ugyanis nem kórházként működik, ahová be lehetne feküdni, ezért a kórházi ellátást igénylő, súlyosabb eseteket a szakorvosok a kincses város Rákkutató Intézetébe vagy más kórházak onkológiai osztályaira irányítják.
„A betegeket különböző orvosi szakágak szakorvosai irányítják hozzánk, miután diagnosztizálták a daganatos betegséget. A tüdődaganatot pulmonológus, az emésztőrendszerit belgyógyász vagy gasztroenterológus, a melldaganatot radiológus vagy nőgyógyász állapítja meg, de bőrgyógyásztól, fül-orr-gégésztől és más szakorvosoktól is érkeznek hozzánk küldőpapírral betegek” – vázolja az onkológiai betegellátás első állomását a kolozsvári szakorvos.
A kemoterápiás kórterem bejárata
Fotó: Orbán Orsolya
Ez szerencsésebb helyzet, mivel a rák bizonyos ideig nem okoz fájdalmat, így rendszeres szűrésekkel már kezdeti stádiumban felismerhető. Sokan azonban csak akkor fordulnak orvoshoz, amikor tüneteik jelentkeznek. Ezek lehetnek emésztőrendszeri panaszok – hasmenés, székrekedés vagy ok nélküli, hirtelen fogyás –, tüdődaganat esetén véres köpet, húgyúti daganatnál vér a vizeletben, menopauza idején jelentkező vérzés, amikor ennek nem volna szabad előfordulnia, illetve a daganat típusától függően egyéb tünetek.
„Románia élen jár a méhnyakdaganatok tekintetében, nőknél ez a leggyakoribb ráktípus. Ezt követi a melldaganat, majd az emésztőrendszeri daganatok és a tüdődaganat. Férfiaknál a leggyakoribb a tüdődaganat – ami többnyire a dohányzás következménye –, ezt követik az emésztőrendszeri daganatok. Ezek számítanak a vezető rákos betegségeknek” – mutat rá lapunknak az orvosnő.

Egészségünkre! című orvosi sorozatunk újabb állomásaként a kolozsvári Gynia szülészeti és nőgyógyászati magánklinika főorvosának, dr. Zsigmond István szülész-nőgyógyásznak a rendelőjébe látogattunk el.
Általánosságban elmondható, hogy minél korábbi stádiumban fedezik fel a daganatot, annál jobbak a gyógyulási kilátások. Éppen ezért a szakorvosok egybehangzóan hangsúlyozzák a szűrővizsgálatok fontosságát: egy kezdeti stádiumban kimutatott emlő-, méhnyak- vagy vastagbéldaganat sokkal eredményesebben kezelhető, mint az előrehaladott állapotban diagnosztizált rák.
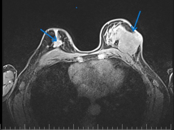
MRI (mágneses rezonancia) felvétel kétoldali mellrákról (nyilak jelzik a daganatot)
Fotó: Amethyst sugárterápiás központ
„Korábban a sikeres kezelések után azt mondtuk, hogy öt év elteltével meggyógyult a beteg. Ez mára megváltozott, mert látjuk, hogy a betegség akár öt év után is kiújulhat, sőt egy melldaganat esetében akár 10–15–20 év elteltével is megjelenhet egy újabb daganat, amelynek nincs köze az előzőhöz. Ezért a betegeket az ötéves időszak után is rendszeres ellenőrzésekre hívjuk vissza” – magyarázza az orvosnő.
A kemoterápiás intravénás kezelést ezeken az ágyakon kapják meg a betegek
Fotó: Orbán Orsolya
„A három fő kezelési forma gyakran összefonódik, és nem minden esetben a sebészet az első lépés. Szükség lehet előkezelésre is, amely lehet sugárterápia, kemoterápia vagy más onkológiai kezelés, illetve ezek kombinációja” – ismerteti a kezelési stratégiát a szakorvos. A diagnózis felállítását minden esetben szövettani vizsgálat és további kivizsgálások követik, hogy pontosan meghatározzák a betegség kiterjedését.
Jó hír, hogy az Országos Egészségbiztosítási Pénztár (CNAS) valamennyi onkológiai kezelést finanszírozza, így a páciensek számára az ellátás ingyenes. Míg öt-tíz évvel ezelőtt várólisták és gyógyszerhiány nehezítette a kezeléseket, mára ezt sikerült felszámolni. A szakorvos szerint a pontos diagnózis és a szükséges vizsgálatok elkészülte után akár napokon belül megkezdődhet a terápia, ami jelentős előrelépés a betegség sikeres leküzdésében.
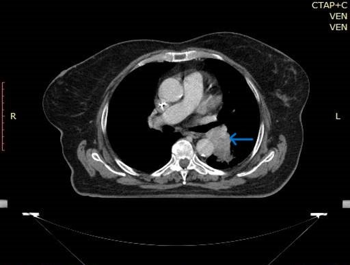
CT (computer tomográf) felvétel tüdőrákról
Fotó: Amethyst sugárterápiás központ
A doktornőt a daganatos betegségek kialakulásának okairól is kérdeztük, hiszen egyre több szó esik az egészségtelen életmód, a dohányzás, a mozgáshiány, a túlsúly és más negatív tényezők hatásairól.
A méhnyakrák kialakulásáért a HPV-vírus felelős, míg a bőrdaganatok esetében a túlzott napozás és az UV-sugárzás jelent kockázati tényezőt. Vannak olyan esetek is, amikor családi halmozódás, genetikai eltérések állnak a háttérben, de előfordul, hogy nem találunk egyértelmű okot a daganat kialakulására” – foglalja össze a szakorvos.
A műtéti beavatkozás és a gyógyszeres kezelések mellett kiemelt szerepe van a sugárterápiának is
Fotó: Orbán Orsolya
A daganatos betegek számára a diagnózis közlése jelenti a legnagyobb lelki megpróbáltatást. „Sokan ezt a halállal azonosítják, ami ma már nem igaz. A sokkhatás akkor jelentkezik, amikor az orvos közli a diagnózist, illetve a kivizsgálások idején, amikor még nem tudják, mire számíthatnak, mennyire előrehaladott a betegség. A pszichés állapotnak óriási szerepe van a kezelésekben és a kimenetelben” – hangsúlyozza az orvosnő. Éppen ezért a kezelőcsapat munkáját pszichológus is segíti.
A megelőzéshez visszakanyarodva a szakorvos ismét a szűrővizsgálatok jelentőségét emeli ki, amelyeknek a jövőben még nagyobb szerepük lesz a daganatok korai felismerésében. A korán felfedezett melldaganatos betegek például 95 százaléka meggyógyul. A megelőzés fontosságát hangsúlyozva dr. Pályi-Kiss Emőke kiemelte: ebben kulcsszerepet játszik a kiegyensúlyozott étkezés, a rendszeres testmozgás vagy sport, illetve – ha dohányos emberről van szó – a dohányzás elkerülése vagy elhagyása.

Az orvoslás speciális szakterülete a belgyógyászat, ami holisztikus megközelítésben látja a beteget. Videós egészségügyi sorozatunk újabb részében a kettős képesítésű dr. Ormos Éva kolozsvári belgyógyásszal és sürgősségi szakorvossal beszélgetünk.

Hosszú ideig a tbc volt a tüdőgyógyászok által leggyakrabban kezelt betegség, mára más légzőszervi panaszok terjedtek el. Videós sorozatunk újabb részében dr. Székely Sándor szilágysági tüdőgyógyásszal beszélgettünk.
Lehűlésre figyelmeztetnek a meteorológusok, a jövő hét elején hideg levegő áramlik a térségbe.
Immár nemcsak a székelyföldi településeken gyakori látogató a medve: Kolozsvár közvetlen közelében is egyre gyakrabban bukkan fel, a hétvégén két helyen is látták.
Öt év alatt egyszer sem lankadt a gyülekezet lelkesedése, elhivatottsága Almásmálomon, ahol bár érkezett külső segítség is, döntő részben a hívek adományainak és a közmunkának köszönhetően sikerült felújítani a református műemléktemplomot.
A Partiumi Keresztény Egyetem Sulyok István-épületének amfiteátrumában került sor pénteken az idei Tudományos Diákköri Konferencia keretében a Wagner Nándor szobrászművész szellemi örökségét ápoló Academia Humana Alapítvány pályázati díjkiosztójára.
Nyílt levélben fordult Toroczkai László, a Mi Hazánk mozgalom elnöke Orbán Anita külügyminiszterhez a nagyváradi premontrei rendház és templom ügyében. A politikus szerint a román hatóságok jogsértő módon próbálják kiszorítani a rendet az épület
Egy 12 éves kislány nemi erőszak áldozata lett Kolozsvár egyik utcáján. Az édesapja feljelentése nyomán a rendőrök két hét alatt fogták el a 42 éves, kolozsvári illetőségű gyanúsítottat.
Uzsorakamatokra pénzt kölcsönző Brassó megyei nőt vett őrizetbe a rendőrség. Az uzsorabűncselekményt elkövető gyanúsított zsarolta és megfenyegette áldozatait.
Sokan tartanak otthon lejárt szavatosságú orvosságokat, korábbi kezelések után megmaradt gyógyszereket, és újra beszedik őket, amikor hasonló tünetek jelentkeznek. Azonban a lejárt szavatosságú gyógyszerekkel körültekintően kell bánni.
Románia legfiatalabb repülőtere engedélyt kapott a hatalmas Jumbo Jet repülőgépek fogadására.
Másfél tonna, katalizátorokból származó kerámia monolitot lopott el öt Maros megyei férfi. A mintegy 100 ezer eurós kárt okozó gyanúsítottakat őrizetbe vette a rendőrség, majd elektronikus nyomkövetéssel járó bírósági felügyelet alá helyezték őket.
szóljon hozzá!